“脑袋里竟藏着拳头大的肿瘤,没想到我还能自己走着出院!”54岁的陈叔(化名)意外发现颅底巨大脑膜瘤,一度面临生命危险。在广州医科大学附属肿瘤医院精准施治下,成功完整切除肿瘤,不仅保全了神经功能,更让他重拾运动能力。这场在“刀尖上起舞”的手术能够成功,得益于一支由神经外科牵头,多学科紧密协作、技术精湛的医护团队。
手脚乏力易摔跤,背后藏着致命危机
陈叔是一位马拉松运动爱好者,经常参加马拉松比赛,平时也规律地进行长跑训练。身体素质一向良好。
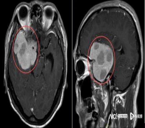
2025年10月起,他在跑步途中频繁在转弯处摔倒,偶尔还感觉一侧手脚乏力,起初并未放在心上。但随着摔跤次数不断增多,又无明显诱因地出现持续一周的头痛,他和家人终于警觉起来。同年11月中旬,陈叔家人带他在当地医院做了一次检查。MR结果如晴天霹雳:右额颞部蝶骨嵴占位病变,大小约5.5x6.6x5.8cm,考虑脑膜瘤。

检查后的第二天,陈叔慕名赶来广州医科大学附属肿瘤医院神经外科就诊,寻求进一步治疗。
MDT护航 手术团队精准施治
鉴于肿瘤体积巨大、位置较深,考虑为右侧额颞蝶骨嵴内侧型巨大脑膜瘤,肿瘤突入垂体窝和斜坡,环绕颈内动脉及分支、视神经等重要结构,压迫脑干。手术难度是神经外科最复杂的手术之一,犹如刀尖上行走,且已出现进行性神经功能缺损症状:肢体乏力,视力受损,视物重影等,病情复杂、手术风险极高。
广州医科大学附属肿瘤医院神经外科彭彪主任、姚谦明教授等迅速牵头组织多学科会诊(MDT),围绕肿瘤的性质、手术入路选择、术中神经功能保护策略以及围术期管理等关键问题展开深入讨论。

专家们一致认为,若不及时干预,肿瘤可能进一步压迫脑组织,导致偏瘫、失明甚至危及生命;而手术虽极具挑战——肿瘤所处位置特别危险,它被视神经和给大脑供血的大血管紧紧环绕,后面还靠近调控呼吸、心跳的“生命中枢”脑干——但却是目前最有效的治疗手段。
手术在高倍显微镜下进行,由彭彪主任主刀。他带领团队凭借丰富的临床经验和精湛技术,精准判断肿瘤边界,操作如“绣花”般细致,一分一毫谨慎分离,既避免了损伤视神经导致视力丧失,又保护了颈内动脉及其分支,在控制出血的同时确保大脑整体血供稳定。

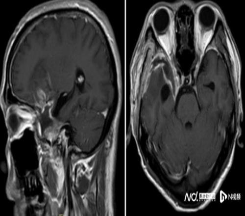
经过近8个小时的精细操作,肿瘤被完整切除,重要神经血管结构完好保留。术后患者恢复良好,顺利出院,经过积极康复后,陈叔有望重回马拉松赛场。
定期体检,别忽视脑膜瘤“小信号”
专家对此介绍,脑膜瘤是起源于脑膜——即覆盖大脑和脊髓的三层保护膜(尤其是蛛网膜帽细胞)的一类常见颅内肿瘤。约80%–90%为良性,生长缓慢,病程隐匿,常在体检或因其他症状检查时偶然发现。可出现在颅内任何有脑膜覆盖的区域,常见于矢状窦旁、大脑凸面、蝶骨嵴、嗅沟及颅底等位置。
脑膜瘤大多数是良性的,生长缓慢,早期常无症状,但“良性”不等于“不用管”。若出现不明原因的持续头痛、视力模糊、单侧肢体乏力、嗅觉或听力下降、新发癫痫等,应及时就医,做头部影像检查(如MRI),关键在于早发现、早干预。
专家介绍:

彭彪
广州医科大学附属肿瘤医院
神经外科 主任
脑胶质瘤诊疗中心主任
主任医师

罗冬冬
广州医科大学附属肿瘤医院
神经外科 副主任
副主任医师
采写:南都N视频记者 伍月明 通讯员 鲁旭、魏彤